AI-powered cruise control can stop 'phantom traffic jams' before they start
Software predicts the perfect speed to keep from having to stop.
Software predicts the perfect speed to keep from having to stop.
U.S. will not delay deadline for airlines & 5G
The U.S. has no plans to delay the July 1 deadline to refit planes with new sensors to address the possibility of interference caused by 5G. Hugh Odom with Vertical Consultants joined LiveNOW from FOX's Josh Breslow to discuss the implications for Americans planning to travel this summer.
The U.S. has no plans to delay the July 1 deadline to refit planes with new sensors to address the possibility of interference caused by 5G. Hugh Odom with Vertical Consultants joined LiveNOW from FOX's Josh Breslow to discuss the implications for Americans planning to travel this summer.
Fed-up parents in Senate push for ban of social media for kids
A group of senators is considering legislation banning social media for children under 13 years old amid growing concerns from parents about the negative impact of social media on children's mental health and well-being.
A group of senators is considering legislation banning social media for children under 13 years old amid growing concerns from parents about the negative impact of social media on children's mental health and well-being.
Facebook failed to protect privacy of children using Messenger Kids app, FTC says
The Federal Trade Commission says Facebook misrepresented the access it provided to app developers to private user data.
The Federal Trade Commission says Facebook misrepresented the access it provided to app developers to private user data.
Apple, Google team up to stop creepy tracking tactics
The two companies submitted a proposal to set standards for combatting secret surveillance on Apple’s AirTag trackers and similar devices.
The two companies submitted a proposal to set standards for combatting secret surveillance on Apple’s AirTag trackers and similar devices.
Some 14 million jobs won't exist globally in 5 years, report says
Here are the jobs that will be most impacted in the years ahead, according to the new report by the World Economic Forum.
Here are the jobs that will be most impacted in the years ahead, according to the new report by the World Economic Forum.
Study finds ChatGPT struggles with math, unlikely to replace accountants
Despite near-perfect GRE and bar scores, an AI model was found to sometimes struggles with basic math functions.
Despite near-perfect GRE and bar scores, an AI model was found to sometimes struggles with basic math functions.
Jada Pinkett Smith says 'Red Table Talk' is looking for 'new home' after Facebook Watch cancellation
A Meta spokesperson said it will be refocusing on original content in virtual reality.
A Meta spokesperson said it will be refocusing on original content in virtual reality.
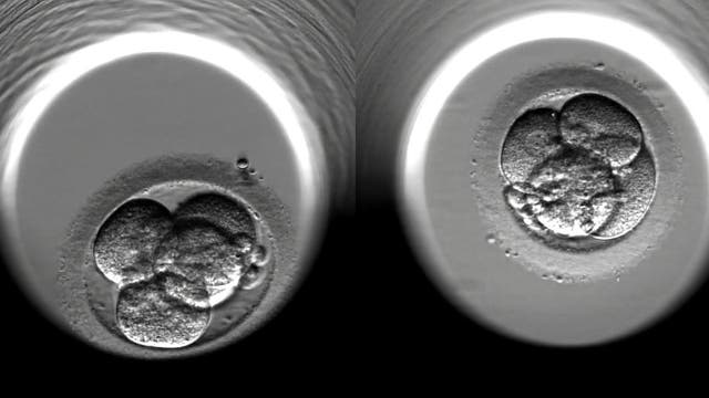
Sperm-injecting robot used to create babies in scientific breakthrough
According to the MIT report, engineers used a Sony PlayStation 5 controller to operate the robot.
According to the MIT report, engineers used a Sony PlayStation 5 controller to operate the robot.
People spent 24% more time on Instagram after launch of AI-powered Reels, Zuckerberg says
People are spending even more time on Instagram due to short-form video content they’re seeing in their feed through AI recommendations, according to Meta CEO Mark Zuckerberg.
People are spending even more time on Instagram due to short-form video content they’re seeing in their feed through AI recommendations, according to Meta CEO Mark Zuckerberg.
ChatGPT: What you should know about the AI chatbot and its impacts, both good and bad
There has been a lot of attention over ChatGPT, as well as its impact on not only education, but other facets of life as well. Here's what you should know about the relatively new chatbot technology, as well as its impact on society, and people's concerns about it.
There has been a lot of attention over ChatGPT, as well as its impact on not only education, but other facets of life as well. Here's what you should know about the relatively new chatbot technology, as well as its impact on society, and people's concerns about it.
Senators look to ban kids under 13 from social media in bipartisan bill
The legislation would also reportedly set restrictions for how tech companies use algorithms on social media to serve minors. Here's what to know.
The legislation would also reportedly set restrictions for how tech companies use algorithms on social media to serve minors. Here's what to know.
Senators unveil bipartisan bill that aims to ban kids under 13 from social media
A bipartisan group of U.S. senators introduced legislation that would set a minimum legal age for children to use social media and regulate how algorithms can target kids.
A bipartisan group of U.S. senators introduced legislation that would set a minimum legal age for children to use social media and regulate how algorithms can target kids.
Lost iPhone survives 33 days under water off Hawaiian coast
A Minnesota man gave up on retrieving his iPhone after dropping it while on vacation, but the phone had a lot more endurance than he thought.
A Minnesota man gave up on retrieving his iPhone after dropping it while on vacation, but the phone had a lot more endurance than he thought.
AST SpaceMobile completes first space-based voice call using smartphones
AST SpaceMobile parnered with AT&T, Rakuten, Vodafone
AST SpaceMobile parnered with AT&T, Rakuten, Vodafone
Tinder trouble: Man charged with impersonating deputy on dating app
The images showed him wearing a deputy's uniform, and one image showed him carrying a loaded gun, New Mexico authorities said.
The images showed him wearing a deputy's uniform, and one image showed him carrying a loaded gun, New Mexico authorities said.
Twitter restores blue check marks for dead celebrities including Kobe Bryant, Anthony Bourdain
Twitter says these celeb accounts received the status symbol because they paid for a subscription and verified their phone number.
Twitter says these celeb accounts received the status symbol because they paid for a subscription and verified their phone number.
Red Cross urges gamers to obey laws of war while playing first-person shooters: 'Even wars have rules'
The humanitarian group wants to fight against the normalization of war, even for people playing video games on their couches.
The humanitarian group wants to fight against the normalization of war, even for people playing video games on their couches.
Study finds how fast new AI tech can crack your passwords
This new AI program can guess more than half of all commonly used passwords in minutes.
This new AI program can guess more than half of all commonly used passwords in minutes.
Twitter verification blue checkmarks reportedly reappearing for some users
Twitter removed the blue marks last week from accounts that don’t pay a monthly fee. But the marks mysteriously returned for many highly followed accounts over the weekend.
Twitter removed the blue marks last week from accounts that don’t pay a monthly fee. But the marks mysteriously returned for many highly followed accounts over the weekend.



















